
Update on Thor’s Journey: From Lost to Found and Healing
Hello everyone,
It’s been a few months since Thor, our beloved dog, went missing at our lake house in Michigan. I wanted to take a moment to update you all on his progress and express our gratitude for the incredible support we’ve received from our friends and community.
On January 24th, Thor wandered away from our lake house, and for 30 agonizing hours, he was lost. During that time, we were overwhelmed by the kindness and dedication of our friends who immediately came to our aid, helping us search tirelessly for our furry family member.
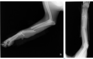
Thankfully, after what felt like an eternity, we found Thor. However, it quickly became apparent that he had been injured during his time away. We rushed him to the veterinarian, where he underwent surgery to address his broken leg.
Now, a couple of months later, Thor is still limping, and we’re concerned that his bone might not be healing properly. Despite our extensive Googling, we’re still not sure if he’s experiencing a bone malunion, but we’re doing everything we can to help him heal and recover.
We’re so grateful for the outpouring of love and support from our friends and community throughout this challenging time. As we continue to monitor Thor’s progress, we’ll be sure to keep you all updated on his journey.
Thank you for being there for us and for Thor.
With heartfelt appreciation,
Ivona and Steven











